This workshop is partially supported
by Australian Research Council,
discovery project DP140102794 &
ARC Future Fellowship (FT110100623).
ARC Logo 

The Second Overlapping Cervical Cytology Image Segmentation Challenge - ISBI 2015

News
  • [Mar 01, 2015] Ranking is released. See page Results

  • [Mar 30, 2015] Submission deadline extended. See Important dates

  • [Mar 17, 2015] Submission is open now. See Submission page

  • [Nov 29, 2014] First dataset (4 training and 4 testing images) released!

  • [Nov 24, 2014] Registration Open!

  • [Oct 14, 2014] Challenge website launched!

hello 

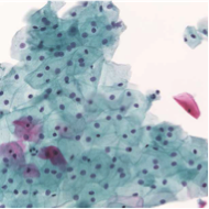
The automated detection and segmentation of overlapping cells using microscopic images obtained from Pap smear can be considered to be one of the major hurdles for a robust automatic analysis of cervical cells. The Pap smear is a screening test used to detect pre-cancerous and cancerous processes, which consists of a sample of cells collected from the cervix that are smeared onto a glass slide and further examined under a microscope (see the left figure). The main factors affecting the sensitivity of the Pap smear test are the number of cells sampled, the overlap among these cells, the poor contrast of the cell cytoplasm, and the presence of mucus, blood and inflammatory cells. Automated slide analysis techniques attempt to improve both sensitivity and specificity by automatically detecting, segmenting and classifying the cells present on a slide.

In this challenge, the targets are to extract the boundaries of individual cytoplasm and nucleus from overlapping cervical cytology images.

Details about the first challenge, please see the website.

The Second Segmentation of Overlapping Cervical Cells from Extended Depth of Field Cytology Image Challenge is held under the auspices of the IEEE International Symposium on Biomedical Imaging (ISBI 2015) held in New York, USA on April 16th - 19th, 2015.